









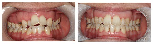
Intraoral Frontal.

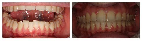
Intraoral Frontal.


Treatment images coming soon…
Treatment images coming soon…

We have been successfully placing and restoring dental implants for many years, enabling patients to smile with confidence.

Today, how you look is more a matter of choice than genes and it is no different when considering your choice of smile.

At River Lawn Dental and Implant Centre we offer a wide range of Orthodontic treatments, providing treatments to people of all ages.

Whitening is a process where the tooth discolouration is 'whitened' to a lighter shade. It removes the staining agent through chemical means.

As dentists with an interest in treating dental phobics, it is essential that we treat you, the patient as an individual and customise your treatment to your specific needs.

At River Lawn Dental and Implant Centre we offer a range of anti-wrinkle and facial rejuvenation treatments.